Corectia recidivelor si esecurilor unor interventii nereusite

Este esecul o fatalitate a chirurgiei monturilor (hallux valgus)? Mit sau realitate?
Corectia monturilor (hallux valgus) poate fi urmata de esecuri sau de recidive, ca orice procedura medicala.
Nu exista in chirurgie, nicaieri in lume, o sansa de reusita 100%. Un chirurg ultra-specializat, veritabil expert al chirurgiei ante-piciorului, poate maximiza sansele de reusita a corectiei pana peste 95-97 % .
Esecul reprezinta o deceptie profunda atat pentru pacient, cat si pentru medic.
Exista o multitudine de explicatii ale esecului:
- indicatie inadecvata: exista cazuri in care tratamentul chirurgical este depasit (ne-realist) si trebuie evitat;
- tratament inadecvat: sunt utilizate multe procedee chirurgicale, unele performante (cu rata inalta de succes), altele modeste (cu esecuri frecvente), altele desuete/depasite (esec garantat).
- afectiuni conexe: hiper-laxitate ligamentara, boli genetice sau reumatologice;
- nerespectarea indicatiilor chirurgului;
- atingerea limitelor cunoasterii umane in acest domeniu.
Corectia monturilor este o chirurgie dificila si pretentioasa, desi este adesea considerata o chirurgie "marginala":
- fiecare caz esuat are un tratament bine codificat, chiar daca presupune interventii mult mai complicate (chirurgie de tip global a ante-piciorului);
- pacientii nu trebuie sa se descurajeze in fata unui esec, ci sa solicite reluarea tratamentului in conditii corespunzatoare sau de catre un chirurg experimentat.








CORECTIA MONTURILOR - PRINCIPII DE BAZA
Corectia monturilor presupune respectarea unor principii, unanim acceptate in Europa Occidentala:
- corectia eficienta, fiabila si stabila a deformatiei necesita sectionarea completa si re-pozitionarea primului metatarsian, a carui deplasare produce deformatia (proeminenta);
- tehnicile chirurgicale care promit corectia monturilor fara sectionarea primului metatarsian sunt iluzorii;

- consolidarea primului metatarsian sectionat dureaza minim 6-12 saptamani, iar recuperarea mersului normal cel putin 8-12 saptamani;
- este imposibila reluarea unui mers normal dupa doar 3 saptamani de la operatie, in plin proces de consolidare osoasa (6-12 saptamani);
- edemul post-operator (« umflarea » piciorului) dureaza minim 3-4 luni;
- edemul limiteaza eforturile fizice post-operatorii si obliga pacientul dozeze progresiv reluarea mersului si a eforturilor fizice.
- nu este imaginabila re-integrarea sociala deplina mai devreme de 3-4 luni de la interventie;
- corectia bilaterala (operarea ambelor picioare in aceeasi zi) este tehnic posibila (chirurgical), insa presupune o durere post-operatorie grava, dificultati majore de deplasare, precum si un risc enorm de complicatii si recidive.


Cauzele esecului corectiei monturilor
Intelegerea adecvata a cauzelor esecului permite re-corectia fiabila a deformatiei si mai ales evitarea viitoarelor esecuri.
Cauze majore ale esecului corectiei monturilor:
- Indicatia inadecvata si corectia chirurgicala ineficienta
- Ne-respectarea indicatiilor post-operatorii
- Datele personale ale pacientului: obezitate, afectiuni pre-existente (boli reumatologice)
- Aspecte imprevizibile sau atingerea limitelor cunoasterii umane in acest domeniu.


Indicatia inadecvata si corectia chirurgicala ineficienta
- procedeul chirurgical utilizat trebuie sa se adapteze tipului de deformatie, respectand indicatia de corectie;
- trebuie evitate tehnicile chirurgicale arhaice, mutilante, care produc consecinte functionale ireversibile;
- trebuie evitate tehnicile cu rezultat impredictibil, cu montaje de osteosinteza instabile;
- este obligatorie utilizarea materialelor de osteosinteza (suruburi) performante si moderne.
Ce inseamna esecul corectiei: non-corectie, hipo-corectie, hiper-corectie (hallux varus), anti-corectie, recidiva, necroza capului metatarsian 1, pseudartroza (non-consolidarea) metatarsienelor, hallux rigidus iatrogen, metatarsus primus elevatus, metatarsalgia de transfer etc


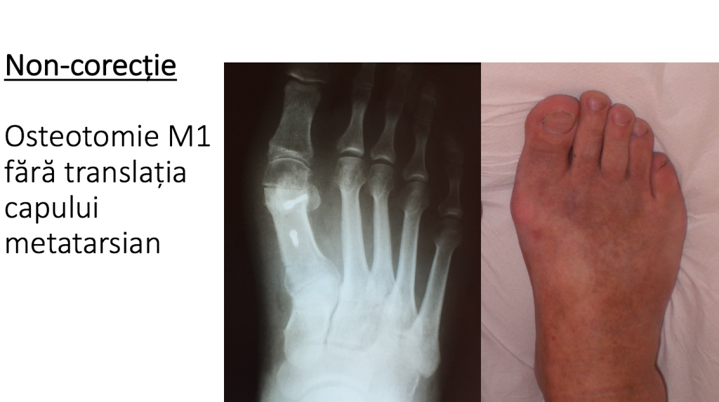
1. NON-CORECTIA
- persistenta proeminentei ("montului") se observa imediat post-operator;
- procedurile chirurgicale mutilante articular (Schede, Keller, Mayo etc) sunt urmate 100% de non-corectie;
- practic: se amputeaza anumite componente ale articulatiei "degetului mare" (metatarso-haluciana);
- pacientul este amagit de promisiunea re-integrarii sociale rapide, obtinute prin gesturi chirurgicale foarte simple.







- chiar si tehnicile ultra-moderne, de tip percutanat, se soldeaza cu esec esecuri daca sunt aplicate inadecvat (atunci cand se limiteaza doar la amputatia partiala a capului metatarsianului 1).


- non-corectia poate fi urmarea aplicarii incorecte a tehnicilor moderne (scarf, chevron etc);









- esecul poate fi consecinta tehnicilor chirurgicale arhaice, lipsite de logica (operatia McBride), ce promit corectia deformatiei fara sectionarea primului metatarsian;





- non-corectie: primul metatarsian ramane proeminent;
- deformatia ramane aceeasi sau chiar se agraveaza, datorita procedurilor de tip mutilant articular;

- metatarsalgia se agraveaza, apar bataturi (hiper-keratoze) sub capetele metatarsienelor;
- degetele laterale se deformeaza in grifa (« deget in ciocan »);

- corectia secundara (dupa un esec) este extrem de dificila in cazul lipsei de substanta osoasa de la nivelul capului primului metatarsian ;
- lipsa de substanta osoasa este urmarea unor proceduri mutilante de tip Schede, Keller, Mayo, ce amputeaza segmente ale articulatiei "degetului mare" (metatarso-haluciana).

2. HIPO-CORECTIA
- exista o incercare de corectie, soldata cu esec;
- primul metatarsian ramane proeminent dupa incercarea de corectie, iar halucele ramane deplasat catre lateral, in pozitie de valgus;
- poate fi urmarea unei tehnici chirurgicale moderne, dar aplicata necorespunzator (scarf, chevron etc);





- utilizarea unor materiale de osteosinteza inadecvate (brose, sarme, scoabe);
- chirurgia moderna a ante-piciorului utilizeaza suruburi dedicate, extrem de performante, dar ce nu pot fi folosite in alte regiuni anatomice;
- materialele de osteosinteza inadecvate pot determina fracturarea fragmentelor osoase si compromiterea montajului de osteosinteza.


- artrodeza tip Lapidus (desfiintarea prin blocare a articulatiei cuneo-metatarsiene 1) si osteotomiile bazei metatarsianului 1, extrem de raspandite in spatiul anglo-saxon, sunt urmate de complicatii frecvente:
- sunt proceduri intrinsec instabile, datorita bratului lung de parghie ce actioneaza asupra montajului de osteosinteza, pe care-l degradeaza;
- reglarea pozitiei primului metatarsian este dificila si aleatorie in toate cele 3 planuri ale spatiului;
- este necesara imobilizarea gipsata indelungata: recuperare lenta, complicatii vasculare;
- se produce artroza articulatiei "degetului mare", ca urmare a pozitionarii inadecvate a acestei articulatii.

- din acest motive, artrodeza Lapidus si osteotomiile bazei metatarsianului 1 se utilizeaza tot mai putin in lume;






- translatia insuficienta a metatarsianului 1 (dupa osteotomie) este cauza cea mai frecventa a hipo-corectiei;




- lipsa varizarii sau insuficienta varizarii falangei proximale a halucelui contribuie mai mult la aspectul estetic, de corectie insuficienta;
- rezultatul final al re-corectiei depinde de volumul de substanta osoasa restanta si de mentinerea conexiunilor metatarso-sesamoido-haluciene.
3. ANTI-CORECTIA
Anti-corectia reprezinta agravarea deformatiei initiale, prin:
- rotatia inversa a capului metatarsian;
- translatia inversa a capului metatarsian;
- de-bricolajul montajului de osteosinteza.






4. RECIDIVA
Reprezinta re-aparitia deformatiei (monturi) dupa corectia chirurgicala initiala, avand diferite cauze:
- procedee chirurgicale necorespunzatoare, ce trateaza doar efectul (proeminenta primului metatarsian) si nu cauza reala (deplasarea osului metatarsian);
- tehnica de amputatie tip Schede inlatura o portiune de os sanatos (asa-zisa "exostoza"), mutiland inutil capul metatarsianului;
- tehnica Keller amputeaza baza falangei proximale a halucelui, impreuna cu insertiile musculare de la acest nivel ;
- metatarsianul 1 ramane proeminent, in schimb halucele devine balant, datorita decuplarii sale de sesamoide, respectiv de sistemul muscular flexor scurt;
- operatia Keller provoaca o sesamoidectomie functionala, destabilizand grav articulatia degetului mare;
- operatia McBride porneste de la premisa (falsa) ca deplasarea primului metatarsian este reversibila, incercand re-aducerea osului la locul sau initial;
- se asociaza amputatia partiala a capului primului metatarsian (Schede), uneori si amputatia sesamoidului lateral;
- tendonul conjunct al muschilor adductori transvers si oblic se transfera pe primul metatarsian printr-un tunel trans-osos;
- esecul apare in peste 95% din cazuri, fie sub forma recidivei (re-deplasarea metatarsianului), fie sub forma hiper-corectiei (hallux varus), fie sub forma necrozei secundare a capului metatarsian.
- unii fabricanti de materiale ortopedice au conceput chiar dispozitive in acest scop, prin care ancoreaza fortat primul metatarsian de metatarsienele 2-3, pretinzand ca monturile (hallux valgus) se pot corecta fara sectionarea completa a primului metatarsian;
- rezultatele sunt logice: fractura metatarsienelor 2-3 si recidiva precoce.

- amputatia sesamoidelor (sesamoidectomia) destabilizeaza grav articulatia degetului mare (metatarso-sesamoido-falangiana), agravand dezorganizarea ante-piciorului (implicit, si deformatia);
- tehnicile moderne, aplicate necorespunzator (insuficient), pot determina recidiva deformatiei;
- osteotomia metatarsianului 1 (scarf, chevron etc) produce hipo-corectie in cazul translatiei insuficiente a fragmentelor;

- utilizarea unor materiale de osteosinteza (suruburi) inadecvate. S-au perfectionat suruburi dedicate acestui tip de chirurgie, prin urmare este inadmisibila utilizarea altor suruburi.
- tehnici de osteosinteza inadecvate: nu pot fi utilizate mijloace « improvizate » de osteosinteza (brose metalice, sarme etc), deoarece fortele care tind sa re-deplaseze fragmentele osoase sunt enorme.

- mentinerea unei lungimi inadecvate a primului metatarsian;
- relaxare ligamentara inadecvata (insuficienta sau exagerata);
- ne-aplicarea principiilor moderne de chirurgie globala a ante-piciorului, ce presupun alinierea corecta a metatarsienelor;
- factori obiectivi pacient-dependenti: hiper-laxitate ligamentara globala (unele maladii genetice), anomalii rotationale sau diverse afectiuni ale membrului pelvin, picior plat/picior scobit, poliartrita reumatoida, obezitate etc;
- nerespectarea de catre pacient a indicatiilor chirurgului: mersul cu sprijin inadecvat, absenta de la controalele periodice post-operatorii, efortul exagerat in perioada consolidarii osoase etc;
- recidiva poate fi corectata cu succes, cu conditia ca procedeul chirurgical initial sa nu fi fost mutilant articular, iar exemplul de mai jos este elocvent.
5.HIPER-CORECTIA (HALLUX VARUS)
- reprezinta imaginea “in oglinda” a hallux valgus-ului (monturi);
- halucele (degetul mare) se deplaseaza spre interiorul piciorului, indepartandu-se de celelalte degete ;
- este o situatie foarte grava, infinit mai severa decat deformatia initiala (hallux valgus);
- articulatia "degetului mare" functioneaza total inadecvat si se distruge rapid.



- la originea esecului stau erorile de indicatie si de tehnica chirurgicala;
- simpla inlaturare a monturilor produce o mutilare articulara (tehnica de amputatie tip "Schede");
- in absenta re-axarii stabile a primului metatarsian, halucele se deplaseaza spre interiorul piciorului si isi pierde baza articulara de sprijin;
- operatia McBride promite corectia deformatiei fara sectiuni osoase, incercand redresarea fortata a primului metatarsian catre pozitia originara, utilizand tendonul unui muschi;
- forta acestui muschi determina o corectie aleatorie, tractiunea excesiva a primului metatarsian si hiper-corectia deformatiei (hallux varus).
- operatia McBride este evitata in Occident de peste 25 de ani, tocmai datorita acestui tip de complicatie (hallux varus iatrogen), dar si datorita necrozei capului metatarsian, ca urmare a alungirii relative a acestui os.





- chiar operatiile moderne, incorect aplicate, pot produce hallux varus;
- hiper-corectia se datoreaza translatiei excesive a primului metatarsian sau unui dezechilibru osteo-musculo-ligamentar (eliberare laterala excesiva).


- corectia hallux varus-ului iatrogen este extrem de dificila ;
- corectia hallux varus-ului iatrogen este totusi posibila, fiind o adevarata provocare pentru orice expert al ante-piciorului.

6. NECROZA CAPULUI METATARSIANULUI 1
- este consecinta unor interventii inadecvate, delabrante, ce nu respecta vascularizatia primului metatarsian);
- privat de aportul de sange, capul metatarsianului 1 se necrozeaza si intra in colaps;
- rezulta scurtarea masiva metatarsianului si aparitia artrozei metatarso-haluciene (hallux rigidus iatrogen), eventual chiar a hallux varus-ului iatrogen.







- gestionarea necrozei este dificila, uneori imposibila, deoarece cartilajul articular este profund afectat (distrus), iar metatarsianul mult scurtat;
- se utilizeaza allogrefe, diverse ostotomii, uneori proteze articulare;
- cel mai adesea se impune desfiintarea, prin blocare, a articulatiei "degetului mare" (metatarso-haluciana), interventie denumita si artrodeza.
7. HALLUX RIGIDUS IATROGEN
(Artroza articulatiei metatarso-haluciene, prin distrugerea cartilajului articular)- poate fi o consecinta a necrozei capului metatarsian (interventii ce nu respecta vascularizatia primului metatarsian);

- cauza cea mai frecventa este ne-armonizarea lungimii metatarsianului 1 la noile necesitati biomecanice, in cazul corectiei monturilor (hallux valgus);
- exagerarea unghiului articular distal (DMAA), caracteristica osteotomiilor bazale si interventiei Lapidus (artrodeza cuneo-metatarsiana 1) produce artroza secundara, prin functionarea inadecvata a articulatiei metatarso-falangiene 1;

- re-aducerea metatarsianului la locul sau initial necesita adesea scurtarea acestuia, uneori chiar cu 20-30 mm, pentru a compensa retractia majora a tesuturilor « moi » (muschi, tendoane, ligamente, vase de sange si nervi).
- interventiile ce alungesc functional primul metatarsian (operatia McBride, osteotomiile metatarsiene bazale, artrodeza tip Lapidus) determina cresterea presiunii in articulatia "degetului mare", provocand distrugerea rapida a cartilajului (artroza, hallux rigidus) ;
- acelasi efect il are si utilizarea dispozitivului numit "orteza pentru hallux valgus".
- corectia rigiditatii articulare (hallux rigidus) este deseori dificila, deoarece cartilajul articular este profund afectat (artrozic);
- corectia rigiditatii (hallux rigidus) impune decompresia articulatiei, adica scurtarea primului metatarsian si/sau a falangei proximale a halucelui.

Reprezinta o situatie frecventa, fiind datorata mai multor factori:
- aborduri articulare delabrante, ce afecteaza vascularizatia, aparatul ligamentar, muschii intrinseci;
- osteotomii metatarsiene efectuate inadecvat, cu instrumente necorespunzatoare ce pot provoca necroza osoasa;
- fixarea (osteosinteza) inadecvata sau absenta fixarii (osteosintezei) fragmenelor osoase rezultate in urma osteotomiei;
- ne-respectarea criteriilor anatomice si biomecanice ale chirurgiei globale a ante-piciorului.







Reprezinta o situatie frecventa, fiind datorata unor multipli factori:
- exista conformatii particulare ale piciorului: picior scobit, deviatia in valgus a retro-piciorului, anomalii de lungime/panta ale metatarsienelor;
- aceste conditii pot conduce la aparitia metatarsalgiei de transfer, chiar dupa o corectie eficienta a montului (hallux valgus);
- metatarsalgia este principala complicatie a monturilor, fiind si prima indicatie chirurgicala de corectie a acestora ;
- corectia metatarsalgiei reprezinta principalul obiectiv in tratamentul monturilor (hallux valgus) si poate necesita o interventie ulterioara asupra metatarsienelor laterale;
- metatarsalgia de transfer nu trebuie privita intotdeauna ca o complicatie, adesea fiind vorba despre o etapa din strategia complexa de tratament a deformatiilor severe ale ante-piciorului;
- erori de tehnica chirurgicala: scurtarea/ridicarea exagerata a capului primului metatarsian, anomalii rotationale ale acestuia;
- neaplicarea principiilor globale de tratament al ante-piciorului, pentru rearmonizarea presiunilor plantare la acest nivel ;
- recidiva grava dupa amputatia tip Schede, cu metatarsalgie de transfer, luxatie metatarso-falangiana 2-3 si mal-perforant plantar, ce a fost corectata printr-o interventie de tip global (foto):



10. METATARSUS ELEVATUS
- capul metatarsianului 1 are o pozitie mai ridicata, post-operator, decat este cazul pentru o functionare corecta a articulatiei;
- pozitia anormal de ridicata a capului primului metatarsian post-operator determina o insuficienta de sprijin si propulsie pe haluce « degetul mare », cu aparitia metatarsalgiilor de transfer;
- este consecinta unei tehnici chirurgicale inadecvate sau a sprijinului post-operator precoce, fara protectia pantofului terapeutic special;
- poate sa apara dupa proceduri mutilante articular (artrodeza cuneo-metatarsiana tip Lapidus);




- poate sa apara dupa anumite proceduri (osteotomii) fundamental instabile (practicate la baza primului metatarsian);


- poate aparea dupa osteotomii potential stabile (diafizare), ca urmare a unui efect de tip « tigla de acoperis »;
- poate aparea dupa osteotomii stabile (distale), printr-un efect de tip « debricolaj »;
- modificarea centrului de rotatie al articulatiei degetului mare determina insuficienta de propulsie a degetului;
- greutatea corpului se translateaza pe metatarsienele laterale, cu aparitia metatarsalgiei de transfer;
- apare un dezechilibru muscular flexor-extensor al halucelui, iar halucele (degetul mare) adopta o pozitie spastica in flexie plantara, care agraveaza metatarsalgia de transfer;
- modificarea centrului articular de rotatie determina distrugerea cartilajului articular (hallur rigidus iatrogen);
- solutia consta in re-pozitionarea capului primului metatarsian printr-o noua osteotomie, corectie in plan tri-dimensional, complexa si dificila.
11. HALUCELE BALANT si deformatia „cook-up”
- urmarea unor procedee chirurgicale mutilante, de tip Keller, Mayo etc;
- amputatia unor componente ale articulatiei provoaca destabilizarea acesteia, cu importante consecinte biomecanice;
- amputatia bazei falangei proximale (procedeu Keller) determina retractia sesamoidelor si metatarsalgie M1, precum si scurtarea halucelui, care devine balant (lipsit de control si de stabilitate);
- amputatia bazei falangei proximale a halucelui (procedeu Keller), prin suprimarea actiunii muschiului scurt flexor al halucelui, provoaca hiper-extensia compensatorie a falangei distale ("cook-up deformity");
- acelasi efect il are si amputatia ambelor sesamoide;
- corectia unei astfel de deformatii implica, cel mai adesea, artrodeza (blocarea chirurgicala) metatarso-falangiana, procedeele conservatoare fiind depasite.
12. BLOCAREA DEGETELOR LATERALE
- nu exista vreun tratat sau vreo lucrare stiintifica care sa descrie o astfel de procedura chirurgicala;
- este permisa doar blocarea articulatiei degetului mare, putand fi discutata in cazul distrugerii acestei articulatii (hallux rigidus, necroza capului metatarsian, infectii, esecuri grave ale chirurgiei anterioare);
- piciorul pur si simplu nu poate functiona cu degetele 2-3-4-5 blocate;
- se recurge la acest gest in cazul luxatiei sau in cazul "incalecarii" acestuia (supradductus), dar si in cazul metatarsalgiei de tip mecanic, in vederea "simplificarii" gesturilor chirurgicale;
- acest tip de interventie nu este doar inutila (nu corecteaza deformatia), ci determina destabilizarea grava a arhitecturii si biomecanicii intregului ante-picior;
- se agraveaza metatarsalgiile;
- mersul devine dureros, cvasi-imposibil.
- apar fracturi "de stress" la nivelul metatarsienelor (blocarea degetelor determina cresterii solicitarii mecanice la nivelul metatarsienelor laterale);
- corectia acestui gen de chirurgie mutilanta este deosebit de dificila, necesitand re-armonizarea lungimii si pantei metatarsienelor restante, dupa principiile chirurgiei globale a ante-piciorului. Adesea se recurge la proteze articulare de tip siliconic, in vederea restituirii mobilitatii articulare, necesare mersului.





13. PSEUDARTRODEZA = ESECUL ARTRODEZEI
- unii chirurgi desfiinteaza articulatia metatarso-haluciana ("a degetului mare") pentru corectia monturilor (hallux valgus);
- prin blocarea acestei articulatii se urmareste re-pozitionarea primului metatarsian, corectand montul (hallux valgus);
- desi este considerata o interventie simpla si standardizata, in practica exista nenumarate dificultati si probleme;
- bratul lung de parghie al metatarsianului 1 produce o enorma forta de incovoiere/forfecare la nivelul montajului de artrodeza;
- complicatia frecventa este pseudartrodeza (esecul fuziunii celor doua oase);
- artrodeza Mt-Ph1 ar trebui limitata la distrugerile articulare masive (hallux rigidus), la necroza capului metatarsian, la pierderile masive de substanta osoasa dupa osteotomii, la infectii si alte situatii similare.

14. AMPUTATIA CELUI DE-AL DOILEA DEGET
- se recurge din pacate la amputatia degetului al doilea in cazul luxatiei sau in cazul "incalecarii" acestuia (supradductus), in vederea "simplificarii" gesturilor chirurgicale;
- piciorul nu poate functiona corect fara degetul 2;
- acest tip de interventie nu este doar inutila (nu corecteaza deformatia), ci determina destabilizarea grava a arhitecturii si biomecanicii intregului ante-picior;
- se agraveaza atat montul (hallux-valgus) cat si metatarsalgiile;
- mersul devine dureros, cvasi-imposibil.
corectia acestui gen de chirurgie mutilanta este deosebit de dificila, necesitand re-armonizarea lungimii si pantei metatarsienelor restante, dupa principiile chirurgiei globale a ante-piciorului.




15. AMPUTATIA CAPULUI METATARSIANULUI 1
- amputatia capului primului metatarsian (procedeu Mayo) destabilizeaza intregul ante-picior, atat estetic dar mai ales functional ;
- se produce retractia degetului mare (haluce), prin scurtarea masiva a "primei raze";
- halucele ramane balant si apare deformatia « cook-up »;
- faza finala de propulsie a corpului (ultima faza a pasului) este anulata, mersul devenind unul schiopatat;
- sprijinul pe primul metatarsian se anuleaza, transferandu-se pe metatarsienele laterale, cu aparitia metatarsalgiei de transfer;
- finalmente apare tabloul de picior destructurat.
16. AMPUTATIA CAPETELOR METATARSIENELOR LATERALE
- se recurge adesea la amputatia capetelor metatarsienelor laterale pentru tratarea metatarsalgiei;
- este o interventie lipsita de logica, deoarece metatarsalgia se agraveaza, mersul putand deveni chiar imposibil (mai ales in cazul inciziei plantare);


- trebuie tratata cauza majora a metatarsalgiei (hallux valgus, pes cavus) si nu efectul (metatarsalgia);
- corectia acestui gen de esec este extrem de dificila, uneori chiar imposibila, datorita destructurarii arhitecturii si biomecanicii ante-piciorului;
- aceasta interventie trebuie rezervata strict cazurilor severe de picior reumatoid, cand se constata distrugerea totala a capetelor metatarsiene, datorata procesului reumatoid inflamator-distructiv.
- denumita si "rezectie-realiniere tip Lelievre", acest gen de interventie trebuie sa respecte totusi criteriile morfo-dinamice ale ante-piciorului, adaugandu-se fie artrodezei metatarso-haluciene, fie unui procedeu de tip reconstructiv al primului metatarsian.

17. DISTRUGEREA ARTICULAȚIILOR ADIACENTE
- materialele de osteosinteza trebuie sa evite articulatiile;
- penetrarea articulatiilor cu brose metalice determina distrugerea rapida a acestora (artroza sau chiar blocarea articulatiilor).


18. CICATRICEA PLANTARA DUREROASA
- cu cateva exceptii precise (tumori, noduli aponevrotici), chirurgia piciorului nu se realizeaza prin incizii plantare;
- inciziile plantare trebuie evitate, deoarece produc complicatii redutabile;
- se intrerupe stratul adipos amortizant de la nivelul ante-piciorului, se distruge « placa plantara », sunt afectate culisele tendoanelor flexoare;
- la nivel plantar exista nenumarate filete nervoase : sectionarea lor conduce la anestezie (neuropatie) plantara, iar inglobarea lor in cicatricea plantara produce un veritabil nevrom, cu dureri invalidante la mers;
- este extrem de greu de mers pe o cicatrice plantara.
19. ALGODISTROFIA & TROMBOZA
- sunt datorate in mare masura imobilizarii post-operatorii si durerii, dar si unor procedee chirurgicale necorespunzatoare;
- orice imobilizare este proscrisa (in afara unor cazuri-limita), pacientul fiind incurajat sa se sprijine pe membrul operat inca din prima zi dupa operatie;
- mobilizarea imediata si mersul precoce necesita o analgezie adecvata.
20. Sechelele amputatiei "nevromului" Morton
- teoria ortopediei clasice privind "nevromul" Morton afirma ca ar exista o formatiune tumorala la nivelul nervului, care trebuie indepartata (ca orice tumora "suspecta");
- doar ca examenul histo-patologic al formatiunii amputate releva in 100% din cazuri caracteristicile unui nerv normal, in nici un caz nefiind vorba despre o tumora;
- amputatia nervului nu rezolva suferinta, care are o alta cauza (de tip mecanic);
- daca nu se rezolva cauza de tip mecanic (metatarsalgia), suferinta persista sau se agraveaza;
- in schimb, la nivelul bontului nervului, rezultat in urma amputatiei "nevromului", va aparea un veritabil nevrom de bont de amputatie;
- nevromul bontului de amputatie genereaza suferinte severe, iar interventiile chirurgicale de ameliorare a suferintei sunt invazive si dificile.
21. ALTE COMPLICATII
- non-consolidari si pseudartroze, cauzate de osteosinteze instabile sau de incarcarea intempestiva a ante-piciorului;
- deplasari secundare ale fragmentelor osoase rezultate in urma osteotomiilor;
- inflamatii/infectii, superficiale sau profunde, dehiscenta plagii chirurgicale sau absenta cicatrizarii tegumentare;
- necroza capului metatarsian, ca urmare a afectarii vascularizatiei acestuia sau prin utilizarea unor tehnici inadecvate.
- complicatiile se datoreaza tratamentului necorespunzator, dar si nerespectarii indicatiilor chirurgului ;
- complicatiile nu trebuie negate: pacientul trebuie sa fie informat pre-operator asupra posibilitatii existentei acestor complicatii.

Ne-respectarea indicatiilor post-operatorii
- succesul corectiei monturilor (hallux valgus) este o munca „de echipa”: nu este suficienta o buna corectie chirurgicala initiala, ci este necesara respectarea stricta a protocolului terapeutic post-operator;
- pansamentele post-operatorii regulate permit o buna evolutie a plagii chirurgicale si evitarea potentialelor infectii;
- utilizarea pantofului terapeutic post-operator permite protejarea sitului operator, respectiv protectia mecanica a montajului de osteosinteza;
- solicitarea mecanica excesiva a piciorului poate produce agravarea sindromului inflamator („umflarea” piciorului), dar poate determina si fracturi „de oboseala” ale osului metatarsian, precum si de-bricolajele montajelor de osteosinteza;
- radiografiile de control post-operator pot evidentia complicatii osoase (fracturi, de-bricolaje), de aceea necesitatea si utilitatea acestora sunt ne-discutabile;
- auto-kineto-terapia permite obtinerea unei mobilitati articulare corecte (articulatia „degetului mare”), garant al satisfactiei subiective post-corectie.
Cauze obiective pacient-dependente
- exista anumte morfotipuri constitutionale ale piciorului ce predispun la esec, prin continuarea deplasarii primului metatarsian;
- factorii hormonali sunt binecunoscuti in evolutia monturilor (hallux valgus): deformatia se agraveaza in perioadele de "furtuni hormonale" feminine: pubertate, sarcina, menopauza;
- laxitatea ligamentara generalizata, generata de un tip particular de colagen, poate determina continuarea deplasarii primului metatarsian, in pofida unei bune corectii intiale;
- maladiile inflamatorii-reumatologice (de tip auto-imun) destabilizeaza structurile articulare ale piciorului si pot produce esecul corectiei in piciorul reumatoid;
- fumatul produce grave complicatii vasculare, prin modificarile tesuturilor datorate vasoconstrictiei indelungate si de lunga durata.
Fumatul: cauza majora de esec
Obezitatea: cauza majora de esec
- greutatea excesiva face foarte dificila tehnic interventia initiala de corectie a monturilor (hallux valgus), mai ales prin dificultatea manevrelor intra-operatorii de manipulare a membrului pelvin;
- dificultatea de deplasare a supra-ponderalului face dificila ingrijirea personala post-operatorie si creste riscul potentialelor complicatii;
- greutatea exagerata produce constrangeri mecanice excesive (forte mecanice enorme) la nivelul montajelor de osteosinteza, putand determina de-bricolaje doar prin contractii musculare reflexe;
- orice „pas gresit”, cu sprijin pe ante-picior, poate produce fracturarea primului metatarsian sau de-bricolajul montajului de osteosinteza;
- greutatea excesiva este o sursa implacabila de diabet, iar diabetul este o contra-indicatie majora pentru orice interventie chirurgicala pe picior, din cauza modificarilor vasculare si neurologice grave produse de diabet;
- pe termen mediu si lung, greutatea excesiva determina destabilizarea mecanica piciorului, producand dureri articulare, metatarsalgii de transfer, fracturi „de stress” ale metatarsienelor laterale, deplasarea progresiva a primului metatarsian si esecul implacabil al corectiei.
















































































